膵臓がんについて

1. 膵臓とは?

膵臓は、みぞおちの奥にあり、胃の背中側にあります。 主な働きは、食べたものの消化を助けることと、血液中の血糖値を調整することです。

2. 膵臓がんについて

膵臓がんはがんの中で最も悪性度が高いです。多くの方は、診断されたときには進行がんの状態で、数年以内に亡くなってしまいます。その原因のひとつに、他のがんと違って早期発見が難しいということが挙げられます。身体の深部にあるため、小さい段階で血液検査や超音波・CTで見つけにくく、健康診断などで早期発見することが少ないです。みぞおちや背中の痛み、下痢、味覚の変化、糖尿病の発症・悪化などを認めたときには、膵臓がんがひそんでいる可能性があります。

3. 膵臓がんの発生

膵臓がんはすい管(消化液〈=すい液〉の通り道)から発生する膵管がんと言われています。 膵臓がんを発症すると、すい管が狭くなり、膵液が停滞します。その際に、主膵管拡張・膵のう胞(分枝膵管拡張)・脂肪変性(膵臓の凹みや痩せ)・腫れといった変化を引き起こします(膵臓がんの間接所見)。これにともなって、膵臓の炎症を起こしたり(みぞおちの痛み)、膵臓のはたらきが低下します(糖尿病の発症や悪化、味覚の変化、下痢など)。顕微鏡レベルの膵臓がん(上皮内がん)でも上記の間接所見や症状を伴うものがあることがわかってきました。膵臓がんが発生してから転移するまで約7年かかると言われております。この間に膵臓の形や膵管の変化をとらえることで早期の膵癌が発見できる可能性があります。

4. “膵癌になりやすい”要素(膵癌危険因子)

① 危険度が高い“膵癌になりやすい”要素

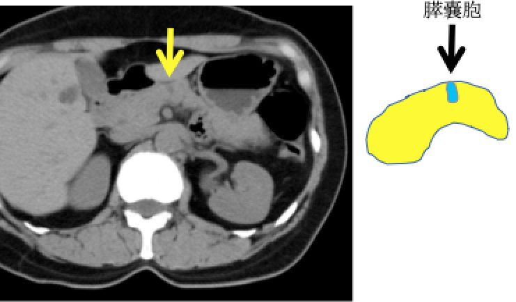
慢性膵炎・急性膵炎・膵嚢胞・膵管拡張・糖尿病・乳がん・卵巣がん・大腸がんにかかった人・血縁者に膵臓がんになった人がいる・CTなどで膵臓の形の変化(膵臓の凹み・萎縮・腫れ)(7. 膵臓の形の変化 参照)

② ①と比べて危険度は低い“膵癌になりやすい”要素

喫煙・飲酒・肥満・血縁者に乳がんや卵巣がん/前立腺がん/大腸がんになった人がいる・ピロリ菌・胆石・B型肝炎・歯槽膿漏
その他、血液型O型の人は膵臓がんになりにくい

5. 膵臓がんの検査 

#印の付いている検査では眠くなる薬(鎮静剤)使うため、検査を受けた日は車の運転はできません。 ※印の付いている検査は入院が必要です。

① 血液検査

血糖・ヘモグロビンA1C・アミラーゼ・リパーゼ
がんマーカー:CA19−9、DUPAN2

② 腹部超音波(エコー)

膵臓がん・膵管拡張・膵のう胞をみつけます。体型やガスでみえないこともあります。

③ CT(シーティー)

膵臓がんがわかりにくいことがあります。造影剤を使用することでがんの存在やひろがりがわかります(腎臓が悪かったり、喘息などがあると造影剤を使用できないことがあります)。“膵癌になりやすい”要素である、膵管拡張・膵のう胞・膵臓の形の変化(脂肪変性:凹みや痩せ、腫れ)がわかります。

④ MRI(エムアールアイ)

膵管の異常をみつけます。顕微鏡レベルの膵臓がん(上皮内がん)周囲の膵のう胞や膵管狭窄・膵管拡張をとらえることができます。ペースメーカーや関節などの金属が体内にあるとMRIができないことがあります。

#⑤ 超音波内視鏡(EUS)

口から内視鏡を挿入し、胃や十二指腸の中から膵臓を間近で観察します。1cm以下の小さな膵臓がんをみつけることができます。顕微鏡レベルの膵臓がん(上皮内がん)周囲の炎症(線維化)もとらえることができます。外来で行える検査ですが、検査用の内視鏡が胃の内視鏡とくらべて太いため、鎮静剤を使用します。このためEUS検査を受けた日は車の運転はできません。

※⑥ 内視鏡的逆行性胆管膵管造影(ERCP)

膵管の精密検査です。膵管の中から膵液を採取して細胞診(がん細胞の有無を判定)も行うことができます。何度も細胞を取るための細いチューブを鼻に留置することがあります。検査によって膵炎などを合併する可能性があるためERCPを受ける際は入院が必要です。

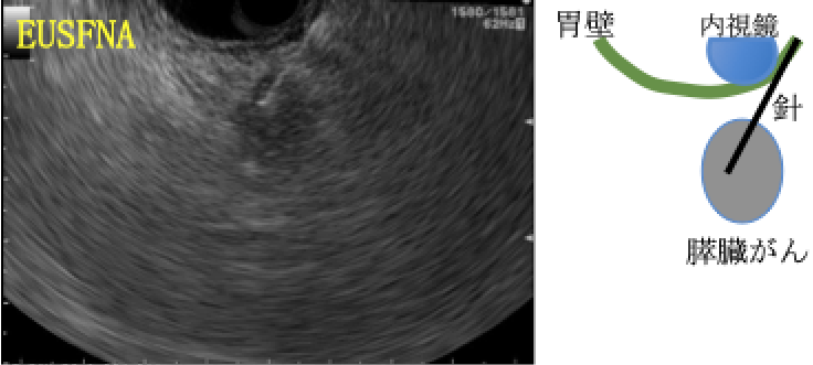
※⑦ 超音波内視鏡下吸引生検・細胞診(EUSFNA)

超音波内視鏡でがんを確認し、胃内や十二指腸内から細い針を穿刺し、がんの細胞を採取する検査です。がんを確認することができれば診断能の高い検査です。検査によって出血・膵炎などを合併する可能性があるためEUSFNAを受ける際は入院が必要です。極めて稀に胃壁などの穿刺した場所で膵臓がん細胞が発育することがあります(穿刺ルート播種)。

⑧ PET

膵臓がんの存在を確認したり、膵臓がんの転移をみることができます。PETでは微小な膵臓がんを検出することが困難なことが多いです。

6. 膵癌の治療

① 手術

膵頭部癌の手術:膵頭十二指腸切除術
膵頭部・胆管・十二指腸・胃の一部を切除し、残った膵臓・胆管・胃と空腸(小腸)をつなぎます。
膵体尾部の手術:膵体尾部切除術
膵体尾部・脾臓を切除します。

② 化学療法(抗がん剤)

③ 放射線療法・粒子線治療

7. 膵臓の形の変化 

① 正常

② 膵のう胞

③ 膵脂肪変性(凹み)、膵管拡張

④ 膵腫大、萎縮

⑤ 脂肪変性

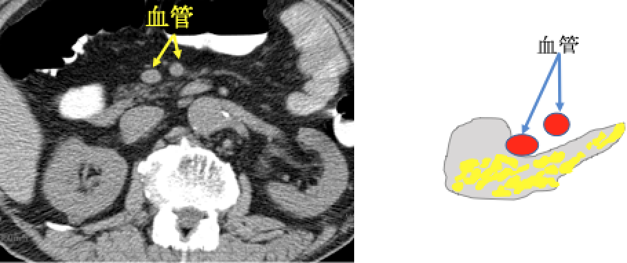
膵頭部(鉤部:こうぶ)脂肪変性

お腹や胸のCTを撮影したことのある人は膵臓に上記のような変化がないか主治医の先生に確認してもらいましょう。CTを何度か撮影したことがある人は比較してもらいましょう。胸のCTにも膵臓は一部うつっていることが多いです。